Restore your bite. Renew your smile.
Restore your bite. Renew your smile.
Restore your bite. Renew your smile.
Restore your bite. Renew your smile.
Restore your bite. Renew your smile.
Restore your bite. Renew your smile.
Restore your bite. Renew your smile.
Restore your bite. Renew your smile.
30년 임상경험의 전문의사의 보철치료로 기능과 아름다움을 동시에 회복합니다.
손상되거나 빠진 치아를 복원해 식사와 일상생활의 불편함이 줄어들어
자연스러운 구강 기능을 되찾을 수 있습니다.
개인의 치아 모양과 색상에 맞춰 제작되어
자연스럽고 미소의 심미적 만족도가 크게 향상됩니다.
보철치료는 손상된 치아를 보호하고 주변 치아의 부담을 줄여
구강 구조의 균형을 유지해 줍니다.
A+ 보철치료 01
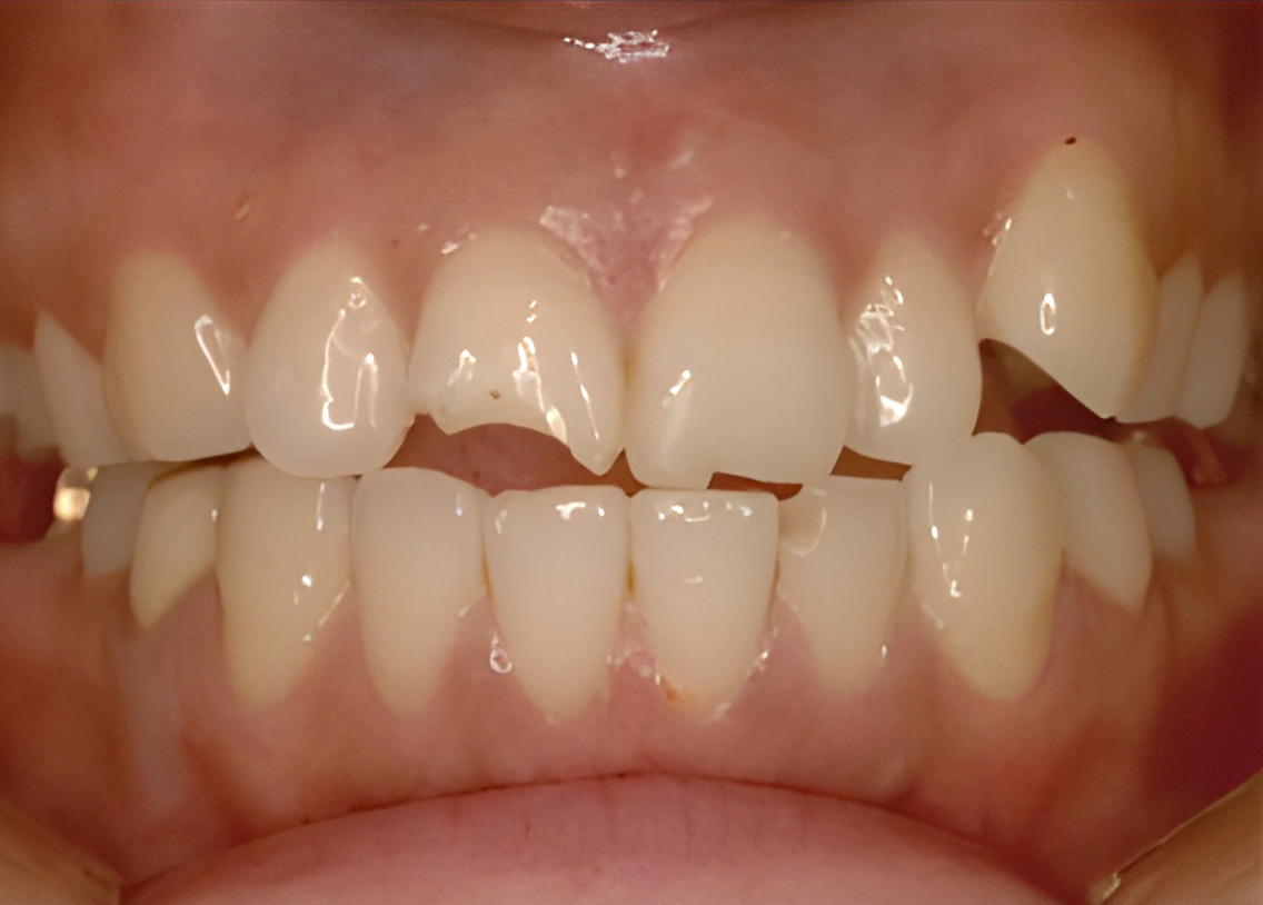
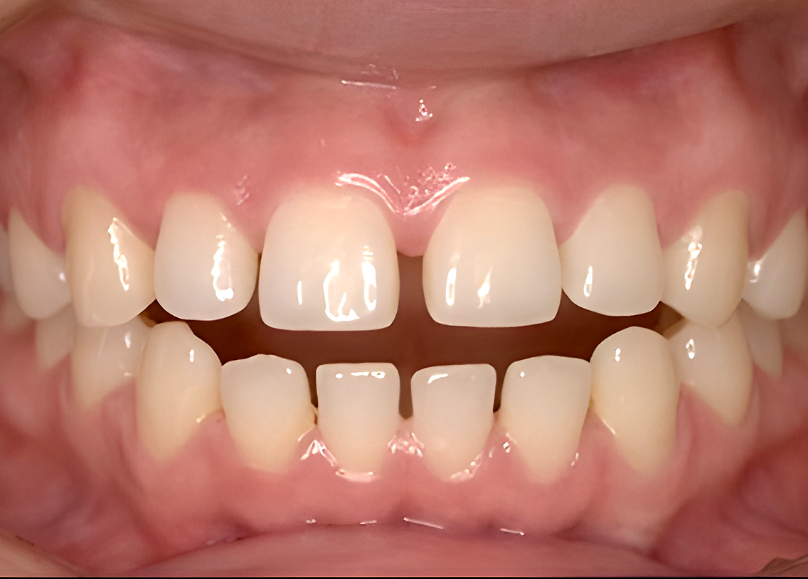
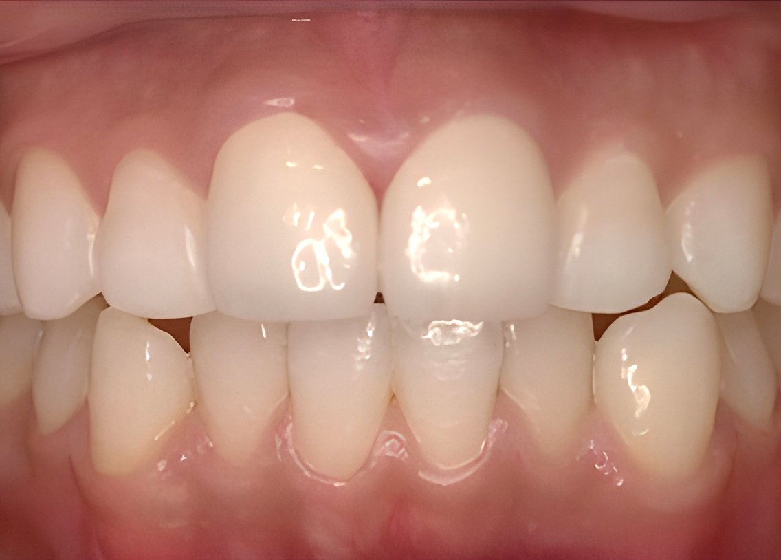
크라운 치료는 큰 충치, 깨짐, 약해진 치아를 감싸 보호하여기능을 회복시키는 효과적인 방법입니다.
환자의 치아 모양에 맞춰 맞춤 제작되기 때문에 자연스러운 색상과 형태를 구현할 수 있으며
씹는 힘을 안정적으로 유지해 장기적인 치아 건강을 돕습니다.
심미성과 내구성을 모두 만족시키는 대표적인 보철 치료입니다.




A+ 보철치료 02
브릿지 치료는 결손된 치아 양쪽의 치아를 지지대로 삼아 인공 치아를 연결하는 방식으로, 치아 상실 부위를 짧은 시간 안에 복원할 수 있는 치료입니다. 자연 치아와 조화를 이루는 외형과 안정적인 기능을 제공하며, 씹는 기능의 회복과 발음 개선에도 도움이 됩니다. 비교적 빠른 치료 과정과 높은 만족도로 많이 선택되는 보철 옵션입니다.
A+ 보철치료 03
상실된 치아의 한 부분을 수복해주는 치아색과 유사한 플라스틱 일종의 재료를 사용하여 치아 삭제량을 최소화하고 적은 충지부위에 통증이 거의 없이 진행되는 치료입니다.
A+ 보철치료 04
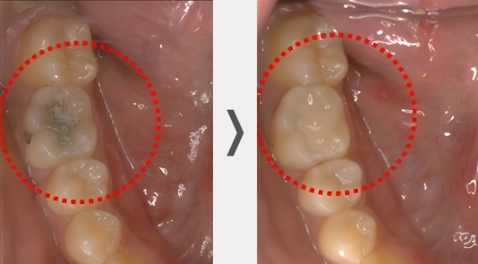
인레이 치료는 충치부위를 제거한 뒤 본을 뜨고 금/레진/세라믹 등으로 본을 뜬 자리에 보철물을 만들어 채워줌으로써 치아의 기능과 형태를 회복시키는 치료입니다.
A+ 보철치료 05
교차감염 방지를 위해 철저히 멸균하여 관리하고 있습니다.
A+ 보철치료 06
임플란트 수술의 두려움과 경제적 부담으로 비전문 의료진에게 시술을 받지는 않으셨나요?
이제 개인에 딱 맞는 A+ 맞춤형 틀니로 경제적인 비용은 물론 제2의 즐거운 인생을 시작하세요!