Restore your bite. Renew your smile.
Restore your bite. Renew your smile.
Restore your bite. Renew your smile.
Restore your bite. Renew your smile.
Restore your bite. Renew your smile.
Restore your bite. Renew your smile.
Restore your bite. Renew your smile.
Restore your bite. Renew your smile.
잇몸질환을 방치할 경우 전신질환으로 이어질 수 있다는 사실을 아시나요?
잇몸 염증은 더 심한병으로 전이가 되기 때문에 사전에 예방하는 것이 가장 좋은 방법입니다.
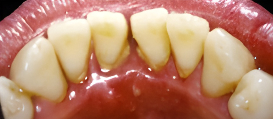
칫솔질과 치실질을 통해 매일 플라그를 제거하지 않으면 박테리아로 인해 잇몸 조직이 붉어지고 부어오르게 됩니다. 염증이 더 심해지면, 치아 주위 조직에 염증이 생기는 치주염으로 진행될 수 있습니다.
보통 치은염은 칫솔질을 꼼꼼하게 열심히 하고 치실을 사용함으로써 건강한 잇몸을 회복할 수 있습니다. 올바른 칫솔질과 정기적인 스케일링으로 세균이 자랄 수 있는 환경을 제거하면 잇몸을 건강하게 유지할 수 있습니다.
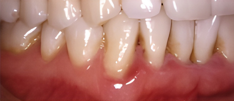
치은염을 치료하지 않고 방치하면 플라그가 뿌리로 퍼져 뼈와 연조직에 감염과 손상을 일으킬 수 있습니다. 잇몸이 치아에서 분리되어 물러나기 시작할 수 있으며 잇몸 라인 아래에 주머니가 생겨 플라크와 음식물이 쌓일 수 있습니다.
치주염은 스케일링을 통해 플라그와 치석을 제거하여 치료합니다. 문제가 되는 치주낭 부분을 제거하여 건강한 조직이 치아에 붙을 수 있도록 합니다.
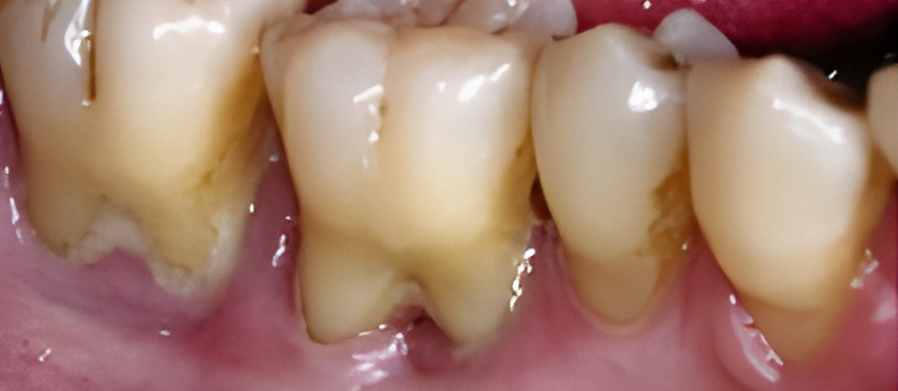
잇몸이 심하게 붓고 피가 자주 나며 치가가 흔들리기도 합니다. 치아 뿌리가 드러나기도 하며 때로는 잇몸에 고름이 나와 음식물을 잘 씹을 수가 없습니다.
잇몸에 고름이 차 있다면 배농이 필요하고, 잇몸을 절개해서 염증조직을 제거하거나 치은이나 뼈를 이식하는 수술을 시행하기도 합니다.
신경치료를 받지 않으면 치아를 발치해야 합니다.
신경치료를 한다고해서 이미 죽은 조직을 살릴 수는 없지만 신경치료를 통해 통증을 없애주고 염증이 치아 뿌리를 싸고 있는 뼈 조직으로 퍼지는 것을 막아줍니다.
이처럼 신경치료는 치아를 뽑지않고 치아의 형태와 기능을 최대한으로 오랫동안 사용할 수 있도록 보존하는 치료입니다.

치아 내부 신경이 감염되면 뿌리 끝에 고름이 차는 농양이 생길 수 있습니다. 이로 인해 심한 통증, 부기, 씹기 불편 등이 나타나며 신속한 치료가 필요합니다.

치아 윗부분에 작은 구멍을 만들어 신경관으로 진입할 길을 마련합니다. 이를 통해 내부 염증 부위를 정확히 확인할 수 있습니다.

염증이 생긴 신경과 감염된 조직을 제거하고, 뿌리관 내부를 깨끗하게 청소한 뒤 치료에 적합하도록 넓히고 정돈합니다.

잘 소독된 뿌리관 공간을 영구 재료로 빈틈없이 채워 세균이 다시 침투하지 않도록 봉쇄하는 중요한 단계입니다.

필요 시 치아를 지지할 기둥을 넣고, 접근 통로로 만든 구멍을 충전재로 메워 치아의 구조를 안정적으로 회복시킵니다.

약해진 치아를 보호하기 위해 맞춤 제작된 크라운을 씌워 강도와 기능을 회복시키며, 장기적으로 안전하게 사용하도록 마무리합니다.